川崎市高津区溝口の歯科医院|溝の口駅から徒歩5分|小児矯正・成人矯正・審美歯科
〒213-0001 川崎市高津区溝口1-18-6 第7三信ビル2F
044-299-8112
オンライン予約はこちら
ホーム
患者様へ
医院紹介
院長・スタッフ紹介
院内設備
院内物販
求人募集
費用について
クレジットについて
医療費控除について
診療内容
むし歯・歯周病治療
予防歯科・PMTC
小児矯正
保険でできる白い歯
MTAセメント
インプラント
テルプラグ
審美歯科治療
ホワイトニング
成人マウスピース矯正
ソフト義歯
睡眠時無呼吸症候群
食いしばり治療
訪問診療
アクセス
WEB予約
初診問診票
お問い合わせ
Home
/
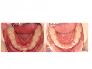
小児矯正症例
/
スライド85
スライド85